- 宝宝牙齿磕掉,泡口水、牛奶里接上?别被误导,切记1个前提
- 来源:育学园
今天要讲的是孩子们在生活中随时可能发生的一个意外——牙齿外伤。
在0-6岁的儿童中,口腔伤害是第二常见的伤害,几乎占所有身体伤害的20%。
牙齿外伤有两个高峰期,一个是2-3岁,一个是7-9岁,都是孩子爱跑爱跳的年龄。
牙齿受伤第一时间我们能做什么?磕掉的牙齿还要不要?还能接回去吗?
很多科普都在宣传一个急救方法,说磕掉的牙齿别扔,泡牛奶里送医院还能接上去继续长。可是,他们并没有说明白,这个方法对某些孩子并不适用。
所以,今天我们就说说不同类型的受伤牙齿该怎么急救、治疗。
哪些牙齿最容易受伤?
乳牙创伤最常发生在2-3岁,常见原因是坠落事故,其中有一半事故是发生在室内。
仔细想想也是这个道理,这个年龄段的宝宝喜欢跑来跑去,又喜欢爬桌子翻柜子。而长出的乳牙又不够结实,因此很容易因为被绊倒,或者从床上、餐椅上摔下来,从而磕伤牙齿。
另一个高峰年龄是7-9岁,一般换完牙3年内恒牙还没长结实,也容易受伤。最常见损伤是上门牙摔断。受伤最常见的原因是摔倒、车祸、打架和运动等。
不管大孩子还是小孩子,男孩发生牙齿损伤的频率更高。
孩子们最容易摔伤的是上面两颗大门牙,其次是旁边两颗侧切牙。其他部位比较少见。
什么情况下牙齿摔伤能接回去?
我看到有些科普举的例子,说2-3岁宝宝磕掉了牙齿,建议赶紧送医院接回去。
简直大错特错。
2-3岁宝宝还是乳牙,乳牙掉了并不适合接回去,因为担心损伤恒牙牙胚。
乳牙磕掉了,牙医更担心的是门牙空出来的空间逐渐变小,会影响恒牙萌出,因此可能给戴牙间隙保持器,而不是把牙塞回去。
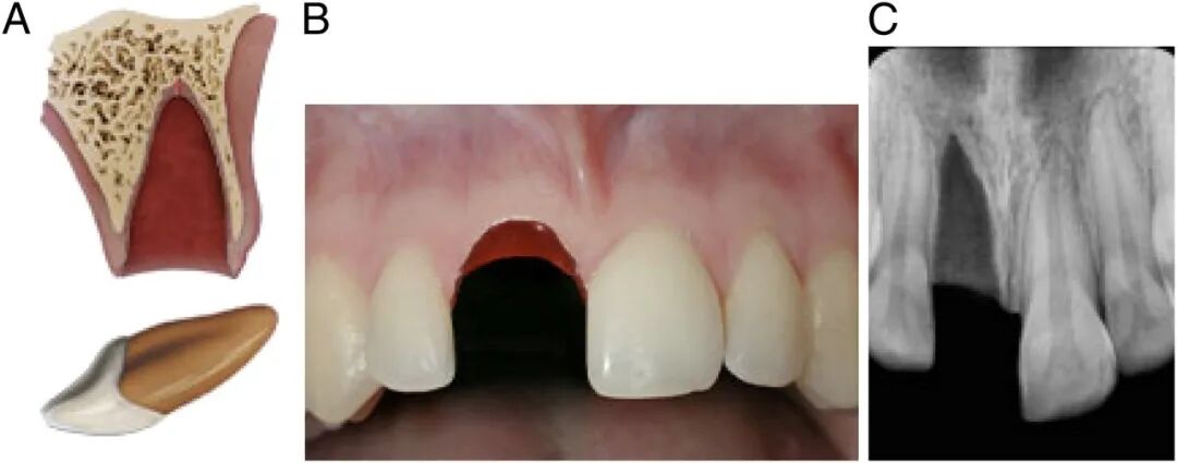
牙齿撕脱
科普推荐的泡牛奶啊、泡口水啊,都是针对恒牙的急救措施。
恒牙的撕脱是所有牙齿伤害中最严重的,而且首选治疗方法确实是立即再植。
为保证恒牙能成功接回去,磕掉牙第一时间家长应该这么做:
1、首先,先找到摔掉的牙,捏住牙冠部(注意不是牙根);
2、如果恒牙掉地上沾土了,千万别擦,在冷流动水下短暂冲洗10秒,然后重新放回牙槽中,再让孩子咬住干净棉球或毛巾将牙齿固定住,然后去急诊。
3、如果无法立即植入牙齿,则应将其存储在有助于保持牙周膜纤维细胞活力的介质中。比如泡在冷牛奶或生理盐水中,实在不行含在舌下,或者往杯子里吐口水,把牙齿泡进去也可以。
但是别把牙齿泡水里,因为水会引起牙周膜纤维细胞的渗透性溶解。
4、以上所有动作都要快,牙齿口外干燥超过60分钟,牙根细胞就不容易存活了。
其他类型伤害怎么办?
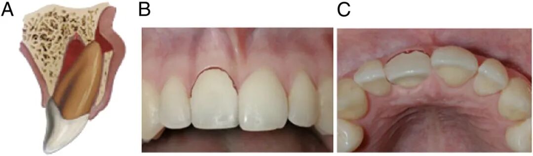
其实磕掉整颗牙的情况并不常见,常出现的是牙齿摔“歪”了,或者磕断一截的情况。
1、牙齿摔“歪”
摔歪的牙齿通常是牙齿尖往里(舌侧方向)歪。
侧脱位
严重的牙齿可能摔“短”一截,甚至摔没了,整颗牙直接“楔”进牙槽骨里。
入侵式脱位
摔歪的牙齿,一般伴有疼痛、松动、出血,同时出现咬合障碍,家长没有什么急救方法,能做的就是尽快就诊。
脱位幅度小的,医生可能会什么都不做,等牙齿自己复位;也可能手动把牙齿复位,然后等它自己长好;严重的,可能上夹板固定,跟处理骨折一样;再严重的,可能直接拔掉。
2、牙齿摔断
牙齿摔断依旧需要家长先找到掉的那半截牙,不过不用考虑保持细胞活性,所以不用泡牛奶了,找不到掉牙也没关系,尽快送医。
断牙治疗主要看断开的位置有没有暴露牙神经,分牙冠折断、牙根折断和冠根均折断等三种类型。
没有暴露牙神经,处理就比较简单。只需将牙釉质断面较锐利的地方磨光滑,不扎舌头即可。
也可以采用断冠再接的办法,把磕掉的那半截牙冠再粘回去。
如果牙齿摔断之后,牙冠碎了或者找不到了,就在保护牙髓之后,用材料对牙齿进行修复。
如果牙齿断得比较靠近牙根,或者摔裂了,裂缝延伸到牙根,这些情况可能会伤到牙神经,处理起来复杂一些。
图源:AAP
为了防止牙神经感染,牙医通常采用一些材料,覆盖到这个露出神经的表面,然后再用材料把牙齿外形严密封闭。
如果牙齿磕断时间较长,露出的牙神经比较多,就采取牙髓切断术把受感染的这一部分牙神经去掉,把健康的牙髓保留下来,让牙根继续生长和发育。
如何预防牙外伤?
据研究数据表明,与体育有关的事故占儿童所有牙科伤害的10%至39%。大部分孩子牙齿外伤都是运动时候产生。
所以,对于2-3岁的小孩子,如果要预防牙齿受伤,可以在骑平衡车、滑板车、自行车的时候戴头盔,最好戴全盔,能把下巴也包住的那种,脸栽地的时候全盔能保护到牙齿。
对于更大的孩子,在玩篮球、足球等对抗性强的团体运动时,建议戴护齿,就是NBA里好多球员喜欢嚼的那个。
护齿可以在牙科诊所自己咬模定制,也可以去体育用品商店购买。商店的可能和自己牙齿不太贴合,可以开水煮一煮软化材料然后咬住护齿,有助于形成更好的贴合性。
图源:美联社
牙齿受伤急救算是讲完了,要不要再总结一下今天的知识点?
总结出来好像很简单嘛,【点赞】告诉我,你学废了吗?
健康
-
-
- 一年里阳气最盛的季节,正是养生关键期!学点规矩不吃亏~
- 中医养生科普过了立夏,就进入夏天了。在一年四季中,夏季是一年里阳气最盛的季节,气候炎热而生机旺盛。对于人体来说,此时是新陈代谢旺盛的时期,人体阳气外发,伏阴在内,气血运行亦相应地旺盛起来,并且活跃...
- 山东世医堂中医文化研究院
-
-
-
- 体检发现肾囊肿该怎么办?
- (图片来源于网络)老张拿到体检报告单,眉头一皱:“肾囊肿?什么?!居然还有3cm这么大!”这该怎么办?什么是肾囊肿随着影像学的检查越来越普及,肾囊肿这个名词也逐渐进入人们的视野,它是一种肾脏常见的病...
- 兰世亭
-
-
-
- 敲黑板!老年骨质疏松症患者如何补充钙和维生素D?
- 编者按:老年人群中骨质疏松症的患病率高,危害严重。钙和维生素D是骨健康的基本补充剂,也是治疗骨质疏松症的基础。如何补充钙和维生素D是临床医生和患者都很关注的问题。4月23~24日,在河北保定召开的“2021年...
- idiabetes
-
-
-
- 请收藏!从头到脚的防癌重点,每个人都要知道!
- 健康时报权威健康资讯,因专业而信赖!2018年,世界卫生组织下属国际癌症研究机构(IARC)发布的统计显示,除去客观因素,国人75岁前患癌的平均概率为20.6%。也就是说,约每5个国人中就有1人会在75岁前被诊断为...
- 健康时报
-
-
-
- 40岁女性,因脾气暴躁而2次手术,最后一次差点毙命,医生不得不切开她喉咙!
- 拓展阅读郁琦教授:打破绝经认识误区,激素治疗并不可怕接种HPV疫苗不能等,能约上哪个打哪个这个癌症几乎没有症状,20-30%和遗传有关最全面的阴道炎防治秘籍,你一定要看看!日本性教育短片刷屏:无数网友看到...
- 医者部落
-
-
-
- 千万不要叫醒一个熟睡中的人,否则……
- 很多人都经历过这样的时刻:大清早的做美梦,被闹铃的轰炸声惊醒;难得周末睡懒觉,被老妈掀开被窝叫醒;趴座位上打个盹,被旁人的嬉笑声吵醒……醒来之后一肚子气,特别容易被激怒,好像全世界都在和你作对。找...
- 丁香医生
-
-
-
- 疫苗新到!这些人群可以接种了!
- 导读下周沈阳市疫苗供应紧缺的情况估计会缓解,新冠疫苗有望向所有市民开放接种。并且60岁以上的市民可以接种。建议大家可去所在的社区登记,由社区通知到相关的接种点接种。新冠疫苗全民免费接种,个人不承担任...
- 辽沈晚报
-
-
-
- 头晕还伴有这些异常,可能是颈椎病“找上你”了[新民健康]
- 现代人工作的时候需要长期伏案对着电脑,时间久了肩颈部位就会非常僵硬,尤其是颈椎,长期处于紧绷的状态得不到放松,颈椎病就在不知不觉中产生了。它会让人们觉得肩颈酸痛,还会有头晕头疼、不能集中精神等异常...
- 新民健康
-
-
-
- 长期吃错饭,难怪血糖高!63个“控糖食谱”免费送,天天吃不重样
- 长期吃错饭,难怪血糖高!63个“控糖食谱”免费送,天天吃不重样这份食谱针对3种不同的糖尿病患者,每种人群定制了7天的三餐菜谱。一共63份菜谱!!每餐不重样!!!真正的保姆级教程!照着吃,超轻松!想要按照...
- 一附院内分泌科
-
-
-
- 孩子咳嗽总不好,要不要查食物过敏?
- 咳嗽是一个非常常见的问题,有时看遍医院,也找不到确切原因,尝试各种方法,也总不见好转。有的医生说,可能是食物过敏引起的,做个过敏原检查吧,做完检查后,发现好几个阳性,医生建议回避这些食物,有必要吗...
- drpei
-
-
-
- 我的兄弟差点死在了我手里..医生把这个故事讲给所有人听!
- 本文转载自微信公众号:医路向前巍子,作者:巍子夜班那天,我的一个好朋友走进了我的诊室“巍子,正好赶上今天你值班,快帮哥们找牙科大夫瞅瞅,我牙疼,真是奇怪,以前从来没有牙疾,今天突然就牙疼了,还恶心...
- 付虹大夫
-
-
-
- 每天认识一味中药——土茯苓
- 导言:别看茯苓和土茯苓在名字上只差一个字,但他们的区别可大了。茯苓是多孔菌科真菌茯苓的干燥菌核,而土茯苓是百合科植物光叶菝葜的干燥根茎。土茯苓为中医治疗肿瘤、痈疖、糖尿病足等多种疾病的常用中药,它...
- 养生正道
-
-
-
- 宝宝牙齿磕掉,泡口水、牛奶里接上?别被误导,切记1个前提
- 今天要讲的是孩子们在生活中随时可能发生的一个意外——牙齿外伤。在0-6岁的儿童中,口腔伤害是第二常见的伤害,几乎占所有身体伤害的20%。牙齿外伤有两个高峰期,一个是2-3岁,一个是7-9岁,都是孩子爱跑爱跳...
- 育学园
-
-
-
- 立夏|养生重“养心”,做好五件事,健康一整夏
- 今天,我们迎来“立夏”节气。春日渐远,夏日初来,立夏是夏季开始的标志。蛙声蝉鸣,草长莺飞,绿肥红瘦,云卷云舒,万物开始奋力生长。没有夏的成长,就不会有秋收和冬藏。《黄帝内经》里说:“夏三月,此谓蕃...
- 中医药知识服务平台
-
-
-
- 这样才能内外兼「养」,从里美到外!
- ▲感恩有你,一路陪伴不忘初心,继续前行为自己,为家人,为朋友一起学习医学知识关注熊猫医学版权声明以上图文为熊猫原创版权归熊猫医学所有未经允许,谢绝商业转载欢迎转发朋友圈,让更多人受益
- 小大夫漫画
-
