- 肺鳞癌三线PD-1抗体+安罗替尼的疗效远超预期
- 来源:肺癌多学科会诊
【多学科会诊病例】
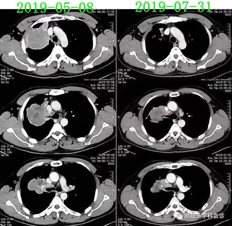
以下为一位肺鳞癌患者经过二个方案化疗后,疾病进展、不耐受继续化疗。三线“PD-1抗体+安罗替尼”治疗, 2周期后肿瘤明显缩小:
PET-CT示(2018-10-28):右肺上叶近肺门软组织肿块代谢不均匀活跃,远侧肺组织不张;右侧锁骨上/下及纵隔(2R)和4L 小淋巴结淋巴结代谢稍活跃。
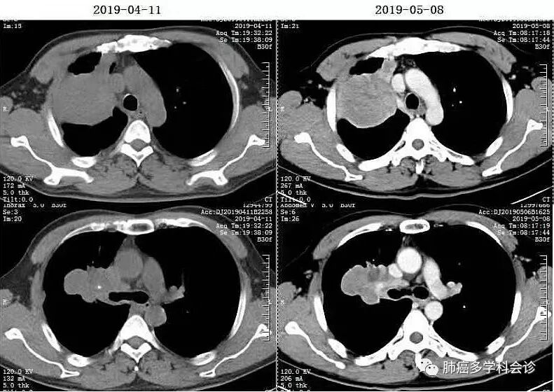
2018.10.28 - 2019.03.22,在呼吸科接受一线化疗:“吉西他滨+奈达铂”× 6周期,最佳疗效PR。2019-04-11复查CT,示疾病进展:
免疫治疗+抗血管生成治疗:
2019.7.31(治疗2个周期后32天)复查CT,肿瘤明显退缩,疗效评价:PR。
【讨论】
【相关文章】
肺癌免疫治疗临床试验招募:
【招募患者】转移或复发性非小细胞肺癌纳武利尤单抗+伊匹木单抗 vs化疗的开放标签、随机3期试验
【招募患者】KRAS突变的转移性NSCLC一线PD-1抗体+阿帕替尼 vs 化疗的随机对照II期研究
【招募患者】IV 期NSCLC的III期随机研究:纳武利尤和伊匹木单抗联合化疗 vs 化疗
【招募患者】晚期非小细胞肺癌一线化疗失败后人源化PDL1/CTLA-4双抗免疫治疗II期试验
【招募患者-更新】卡瑞利珠单抗联合卡铂+紫杉醇一线治疗IIIB-IV期肺鳞癌的随机对照、双盲、多中心III期临床研究
【招募患者】IV期非小细胞肺癌的化疗+PD-L1抗体或安慰剂的随机双盲III期研究
【招募患者】卡铂/依托泊苷联合PD-L1单抗SHR-1316或安慰剂一线治疗广泛期小细胞肺癌的随机、双盲、多中心III期研究
肺癌靶向治疗、化疗新药临床试验招募:
【招募患者】EGFR突变肺癌靶向治疗耐药后BPI-7711临床试验(IB期)
【招募患者】克唑替尼耐药的晚期ALK阳性非小细胞肺癌II期多中心临床研究
【招募患者】谷美替尼治疗c-MET基因突变/扩增的晚期NSCLC的Ib/II期研究
【招募患者】VEGF单抗 vs 安维汀联合化疗在转移或复发非鳞非小细胞肺癌的疗效
【招募患者】第三代靶向药(BPI-7711)治疗EGFR突变T790M阳性转移/复发性非小细胞肺癌的IIb期临床研究
【招募患者】白蛋白结合型紫杉醇/卡铂 VS 紫杉醇/卡铂治疗晚期或复发肺鳞癌的多中心III期研究
郭医生 微信:Tx21004654
耿医生 微信:gengdi1989
张医生 微信: zhanghx4681
黄医生 微信:huangsiyuan123
在线申请,在线咨询,长按识别二维码
河南省“肺癌多学科会诊”预约
时间:
周二 和 周三上午,9:00 ~ 12:00
周四下午,2:30 ~ 6:00
地点:
郑州大学第一附属医院 老院区(建设路与大学路交叉口),门诊10层 会诊室
电话:13526799359,18337100100
其他
-
-
- 口服抗生素影响大肠癌风险吗?| 热心肠日报
- 今天是第1204期日报。 17万人数据:口服抗生素与结直肠癌风险相关 [IF:17.943] ① 纳入英国1989-2012年间的28980例结直肠癌患者及137077例对照;② 口服抗生素与结直肠癌
- 热心肠研究院
-
-
-
- 针织圆领T恤的包边制作方法
- 【精华】1300集服装手绘PS/CDR/AI教程 【实用】1300集服装手工板/CAD制版教程 【实用】800集服装平面立体裁剪视频教程 【实用】770集服装缝纫工艺制作视频教程 【稀缺】西服制版及高
- 服装设计师服装制版裁剪缝纫教程
-
-
-
- 听说女生喜欢体贴的男生
- 今日搞笑动图 / 01 / 我这么体贴,这次相亲十拿九稳了 / 02 / 最佳守门员:球柱 / 03 / 铲屎官,你是不是踩到我的便便池了 /
- 欢乐GIF图
-
-
-
- 生物特征密文认证系统
- 前不久,全球生物特征数据大范围泄露,涉及到83个国家以及2700多个公司与机构,导致许多国家的公司安全信誉岌岌可危。 生物特征(指纹、虹膜、人脸)作为识别个人身份的一种方式,带来了极大的方便。一方面
- 格密链
-
-
-
- 塔罗案例分析 | 他真的喜欢我吗?
- 你真的喜欢我吗 你来推开我虚掩的心门的时候 我有听到心跳加速的声音 你真的喜欢我吗 跟你在一起的时候 对你的犹疑 我想是因为我不够坚定 你真的喜欢我吗 阳台的玫瑰花开了 但我们却分开了 你真的喜欢我
- 龙女说
-
-
-
- 因为一切外境都是心的显现,所以....
- -点击上方蓝字“唤梦师”,添加关注,自利利他- 莫将显现执为实有 从世间法的角度出发,这个问题难以想通,因为我们已经习惯坚固妄想太久了,深陷泥潭,难以自拔。不如把场景放在梦中,放在中阴,来思维它
- 莲师净土
-
-
-
- 干货 | 66页PPT学一汽大众内部质量管理!
- 文章内容来源网络。如有侵权,请联系删除。 One More Thing 知识就是力量,给未来充电!敲黑板划重点: PLUS会员特权:享5折购课,赠120元现金充值,个人特惠课程(学习时间晚6点至早9
- QualityIn质量学院
-
-
-
- Nature—直接研究人类大脑更好!!小鼠和人类皮层神经元种类相似但各种生物学特征差异显著
- 链接:https://www.nature.com/articles/s41586-019-1506-7 2018年十大研究进展名录 盘点2018年阿尔茨海默病十大研究突破 盘点2018年帕金森病十大
- 神经科学临床和基础
-
-
-
- “拳式定型”是练好太极拳的基本要求
- 语音版(预计3分37秒)普通话 - 来自漾太极 - / 03:37 何为“拳式定型” 所谓“拳式定型”,就是说无论是练拳还是实战,无论在什么场合、遇到什么样的对手,面对什么样的来力和劲路,你的动作都不
-
-
-
- 失败后发誓永远不开店,老板却迷上了这种生活 | 开店笔记
- 这是社群里一位老板的开店经历,很精彩,走了很多弯路,失败过好几次,但最后做得非常好。从这个案例里,我相信大家不仅可以看到做生意的方法,选项目的核心要点,还会找到创业的激情和改变生活的希望。 老陈你好
- 开店笔记
-
-
-
- 累官不失至州郡 #X88
- 旧文重发系列 累官不失至州郡 #X88 司徒乘舟 司徒乘舟将欲行,忽闻岸上求救声。 初平年间,董卓杀群臣,王允杀董卓,李傕杀王允。东西二京,尽作焦土。 上至皇帝,下至百姓,全部流离失所。所谓
- 水库线下
-
-
-
- 20190826:短线谨慎一点,中线积极一些
- 1.市场观察: a. 整体: 短线情绪分化:九鼎新材、易尚展示、深大通、和而泰的连板表现出了情绪强势的一面,同时,南华仪器、兆新股份、深中华、银之杰、深纺织又出现了明显的亏钱效应,考虑这是这
- 无名猎手
-
-
-
- 如何看待央行调整新发放商业性个人住房贷款利率?
- 凑个热点,文前先贴一则人民银行的公告 平心而论,我个人感觉就是两点,一是对房贷还是没有完全限死的,没有一刀切,体现了因城施策的原则,实际操作中进行控制,不大涨不大跌就靠这句话了,二是房贷市场化还是未来
- 周璐的笔记
-
-
-
- 肺鳞癌三线PD-1抗体+安罗替尼的疗效远超预期
- 【多学科会诊病例】 以下为一位肺鳞癌患者经过二个方案化疗后,疾病进展、不耐受继续化疗。三线“PD-1抗体+安罗替尼”治疗, 2周期后肿瘤明显缩小: 患者郑WD,男,46岁,吸烟20余年,平均20支/
- 肺癌多学科会诊
-



朋友会在“发现-看一看”看到你“在看”的内容