- 权威发布|乙型肝炎病毒相关早期肝细胞癌影像学检查与诊断标准共识
- 来源:临床肝胆病杂志
原发性肝癌是全球范围内常见的第七大威胁人类健康的恶性肿瘤,致死率高居癌症第3位,其中70%~85%病理类型为肝细胞癌(HCC),我国70%以上HCC继发于HBV感染[1]。原发性肝癌诊疗规范(2017年版)指出,肝癌是我国目前第四常见恶性肿瘤,肿瘤致死率排第3位[2]。HBV相关HCC发生发展涉及若干过程,即从再生结节或不典型增生结节(DN)逐步发展成为HCC。
2017年11月9日中国医学科学院肿瘤医院院长、国家癌症中心主任、中国科学院院士赫捷在中华医学会第十四次全国放射肿瘤学学术年会上阐述,目前我国肿瘤发病居前5位者依次为肺癌、胃癌、肝癌、食管癌和结肠癌。
2009年国际肝细胞肿瘤共识小组将直径≤2 cm的HCC定义为小肝癌(small HCC,sHCC)[3]。根据病理及临床预后,sHCC可分为早期肝细胞癌(eHCC)和进展期肝细胞癌(aHCC)。eHCC为直径≤2 cm的孤立结节,组织分化程度高,无血管侵犯及远处转移;aHCC为中低分化HCC,多侵犯血管。eHCC占HCC的5%~10%,被认为是DN向aHCC的过渡阶段,且最终会进展为aHCC[4-5];主要治疗方式为手术局部切除,5年总体生存率及无复发生存率均高于aHCC,预后较好;eHCC与典型HCC影像学表现不同,仅凭传统影像学方法难以诊断。
国内多位感染与炎症放射学专业委员会专家总结国内外相关文献,结合自身临床经验及循证医学证据对指南及标准的方法学要求,共同确立及推出HBV感染相关eHCC影像学诊断标准,以期为相关科室医生提供指导和诊断依据。
1影像学检查方法
参考国内外相关文献[6-13]及国内临床实践,专家组推荐对HBV相关eHCC进行以下影像学检查。
1.1 超声
1.1.1 常规超声
检查前患者需禁食≥8 h。采用常规超声诊断仪,线阵或凸阵探头,频率3.0~3.5 MHz,行平卧位、左侧卧位或右侧卧位扫查。嘱患者配合呼吸,采用连续扇形扫查法,行右肋间斜切、右肋缘下斜切及纵切、经剑突下横切、纵切和斜切及右季肋间斜切扫查。
1.1.2 超声造影
检查前患者进行屏气训练。调节超声诊断仪至低机械指数超声造影(CEUS)专用成像条件,团注造影剂后,以生理盐水冲洗时启动计时器,于注射造影剂5~25 s后于患者屏气状态下观察动脉期灌注,之后实时连续观察病灶门静脉期及实质期增强模式,并于获得有效信息后扫查全肝。如局部显像不清,可再次注射对比剂,检查时间为4~6 min。储存动态影像学资料并上传至工作站。
1.2 CT
推荐使用16层以上多层螺旋CT扫描仪。嘱患者检查前1周内禁服含金属药物,勿接受消化道钡剂造影;检查当日禁食≥4 h,不禁水。
1.2.1 常规平扫
嘱患者仰卧,双臂上举,足先进,以膈顶为扫描基线,自膈顶扫描至肝脾下缘2 cm。采用螺旋扫描方式,螺距0.6~1.2,参考体质量指数选用管电压需100~120 kV,有效管电流200~300 mAs(或自动毫安技术),转速0.6~0.8 s/rot。根据机型选择不同探测器组合(16×1.500 mm、32×1.200 mm、64×0.625 mm、128×0.600 mm、320×0.500 mm)。建议肝脏扫描层厚≤5.00 mm,FOV(体部)300~350 mm。以标准或软组织重建算法重建。
1.2.2 增强扫描
推荐使用高压注射装置,经静脉团注含碘浓度270~300 mg/ml对比剂,流率2.5~3.5 ml/s,用量参考1.5~2.0 ml/kg体质量,总量70.0~100.0 ml。建议采用对比剂智能跟踪技术或小剂量对比剂测试时间密度曲线等个性化方案;扫描期相和延迟时间采用3期扫描,自开始注射对比剂计时,延迟40 s采集动脉晚期图像,延迟60~70 s采集门静脉期图像,延迟180 s采集延迟期图像。扫描参数及重建方式同平扫。
1.2.3 评价CT图像
图像需满足影像学诊断需求,清晰显示肝、脾和胆囊形态及其与周围脂肪组织的分界;平扫图像应可明确分辨肝内血管结构(包括门静脉及肝静脉主干和主支);肝动脉期、门静脉期和延迟期增强图像需准确、清晰显示各期相肝内应强化的血管等结构。
1.3 MR
推荐以场强≥1.5T MR仪扫描整个肝脏。检查前禁食6~8 h、禁水≥4 h。训练患者呼气末屏气≥15 s,且每次呼吸深度尽量保持一致。嘱患者仰卧,头先进;采用相控阵表面腹部线圈及呼吸门控进行扫描。
1.3.1 扫描序列
平扫包括二维扰相梯度回波序列(同反相位)、快速自旋回波T2WI及单次激发自旋平面回波弥散加权成像(DWI)。增强扫描采用三维容积内插快速扰相梯度回波(GRE)T1W,首选轴位扫描,推荐增加冠状位T1WI及延迟期扫描。
1.3.2 扫描参数
同反相位T1WI: 层厚6 mm,层间距1~2 mm;T2WI,层厚6 mm,间距1~2 mm;DWI中最少采用2个b值,推荐b=0、800 s/mm2,层厚6 mm,层间距1~2 mm。动态增强序列(三维容积内插快速扰相GRE-T1WI)层厚3 mm;动态增强扫描时相以注射对比剂时刻计算,正常循环状态下动脉期多为23~25 s,门静脉期为50~60 s,平衡期为180~240 s,延迟期无特别限制,可根据实际情况进行延时扫描。根据设备型号及序列对其余参数进行优化组合。
1.3.3 肝脏特异性对比剂
1.3.3.1 肝胆期延迟时间 不同药物肝胆期采集时间不同,应参照药物说明书操作。慢性肝病和/或肝硬化患者肝实质强化程度、胆道系统排泄时间与肝功能损伤严重程度相关,可根据具体情况适当延长肝胆期扫描时间。
1.3.3.2 反转角 常规MR多期动态增强扫描反转角9°~15°,在肝胆期增加反转角可提高病灶与正常肝实质的对比度,清楚显示小病灶及胆道系统结构,但也会增加特定吸收率值,使非肝细胞结构信噪比下降,故宜根据MR扫描仪具体情况设定为20°~40°。
2共识制订方法学
本共识基于循证医学指南及标准制订方法学,参照2011年牛津大学循证医学中心证据分级标准、国际证据质量分级和推荐强度系统工作组推荐意见形成的方法学给出推荐意见。
3推荐检查技术及影像学表现
3.1 超声
超声因其无辐射、操作便捷、价格低廉等优势而宜作为筛查的eHCC首选方法(证据级别: Ⅱ,推荐强度: 强)。
3.1.1 常规超声
eHCC多表现为圆形、类圆形或不规则形低回声结节,周边无声晕,CDFI血流无特异性。
3.1.2 CEUS
注射造影剂后,eHCC动脉期多表现为均匀或不均匀强回声结节,延迟期与周围肝组织同步强化呈等回声,部分病灶呈低回声;增强主要呈“快进慢出”模式,见图 1。
3.2 MRI
对诊断eHCC价值高,建议作为确诊eHCC的影像学检查方法(证据级别: Ⅱ,推荐强度: 强)。见图 2、3。
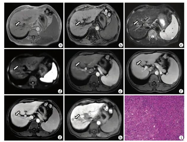
图2 患者男,46岁,HBV感染者,肝硬化合并eHCC注:a,同相位MR T1WI示肝脏S8段等或稍低信号(箭头);b,病灶反相位信号减低,提示其内存在脂肪变性(箭头);c,T2WI呈稍高信号;d,DWI呈稍高信号;e,增强扫描动脉晚期呈等信号(箭头);f、g,门静脉期及延迟期呈低信号(箭);h,肝胆期呈低信号;i,病理学诊断为高分化HCC,其内存在较多脂肪(HE染色,×100)。
图3 患者男,57岁,肝硬化12年,肝脏S6段结节注:a,病灶同相位呈稍高信号(箭头);b,反相位未见信号减低(箭头);c,T2WI呈稍高信号(箭头);d,DWI呈高信号(箭头);e,增强扫描动脉晚期轻度强化(箭头);f,门静脉期呈稍高信号,持续强化(箭头);g,延迟期强化减低,呈低信号(箭头);h,肝胆期呈低信号;i,病理学诊断为高分化HCC(HE染色,×100)。
3.2.1 T1WI eHCC主要呈等信号,可呈稍低信号,仅极少数表现为高信号;部分结节反相位信号减低,提示其内存在脂肪变性。
3.2.2 T2WI eHCC主要呈等或稍高信号,仅极少数表现为低或混杂信号。
3.2.3 DWI eHCC多表现为DWI高或稍高信号,ADC图呈低信号,提示病灶水分子弥散受限。
3.2.4 动态增强 eHCC多表现为动脉期(动脉晚期)等信号、少数为稍高信号,极少数表现为低信号;门静脉期及延迟期呈等或低信号,尚未见呈高信号的报道。
3.2.5 肝细胞特异性对比剂对比增强MR eHCC于肝胆期多呈低信号。
3.3 CT
eHCC CT表现缺乏特异性,CT宜作为eHCC补充检查方式(证据级别: Ⅱ,推荐强度: 弱)。
3.3.1 平扫 以等密度为主,其次为稍低密度,仅个别结节于脂肪肝背景下呈相对略高密度。
4影像学诊断eHCC标准
4.1 疑似病例
HBV感染者同时符合上述3.1所列影像学表现。
4.2 影像学诊断病例
影像学疑似病例同时符合上述诊断依据中的3.2.2~3.2.5。
4.3 确诊病例
病理学诊断高分化HCC且直径≤2 cm。
5相关热点问题共识
5.1 eHCC定义及病理学特点
根据国际肝脏肿瘤共识小组及WHO消化系统肿瘤分类(2010年版),eHCC为直径≤2 cm的肝内孤立结节,组织分化程度较高,未侵犯血管,无远处转移[3]。eHCC为HCC的早期阶段,反映其多步演变过程中的起始阶段;其大体标本为边缘模糊的结节,具有如下病理学特征: (1)细胞密度增高,超过周围组织的2倍,伴细胞核浆比增高和肝板不规则增厚;(2)结节呈假腺样排列,弥漫脂肪变(约40%可见),其内可见数量不等的汇管区(或门静脉系统);(3)可见数量不等的非配对动脉[3]。eHCC侵犯间质具有特征性,可与高级别DN(HGDN)相鉴别[14-15]。
5.2 国际指南诊断eHCC的局限性
目前HCC诊疗工作中广泛应用的指南由欧洲肝病学会(EASL)、美国肝病学会(AASLD)及亚太地区肝病学会共同制定[16-18],其认定的HCC标志性影像学诊断特征为动脉期强化、门静脉期和/或延迟期迅速廓清,呈典型“快进快出”强化模式,均为aHCC的特征,未对早期高分化HCC(即eHCC)制定影像学诊断标准,仅EASL和AASLD提出<1 cm病变可因体积过小而无法发现典型影像学特征。
5.3 影像学特征
本标准综合国内外相关研究结果认为增强MR检出eHCC的敏感度高于增强CT,应用肝特异性对比剂可提高MR诊断eHCC的效能。eHCC病灶多≤2 cm,平扫不易发现,增强扫描多表现为动脉期无明显强化,仅在门静脉期或延迟期相对周围肝实质而呈低密度或信号;DWI高信号、肝特异性对比剂成像肝胆期低信号可作为诊断eHCC的影像学依据。CEUS检查中eHCC动脉期多富于血供,这与其增强MRI特点有所不同,但具体原因不详,可能与CEUS可实时监测及2种检查对比剂分子结构不同相关,其病理基础则可能与未充分发展的异常供血动脉及血窦内皮毛细血管化、瘤体内窦血管腔与周围肝组织窦血管腔相连有关。
5.4 鉴别诊断
5.4.1 HGDN 平扫MR T1WI呈高、等或稍低信号,T2WI呈低、等或稍高信号,DWI多呈等信号;增强扫描动脉期无明显强化或仅轻度强化,门静脉期及延迟期呈等或低信号,肝胆期呈低或高信号[19-20]。HGDN具有细胞学或组织学异型性,但尚不足以诊断HCC,病理学上多表现为细胞密度增高,肝板增厚,局部形成假腺样结构,属癌前病变。HGDN与eHCC的细胞及结构特点差异均不显著,是否存在间质浸润是HGDN与eHCC的强有力鉴别点,发现肿瘤细胞浸润入结节内汇管区或者纤维间隔即可诊断为eHCC[3]。
5.4.2 aHCC 平扫MR T1WI多呈低信号,T2WI呈稍高信号,DWI呈高信号;增强扫描呈“快进快出”,肝特异性对比剂增强扫描肝胆期呈低信号[19-20]。aHCC细胞密度较eHCC明显增高,核浆比明显更高,呈梁状、假腺样或实性排列,破坏性推挤性生长,肿瘤细胞少见脂肪变。与正常肝组织血窦内皮不同,HCC间质由衬覆单层内皮细胞的血窦样腔隙组成。aHCC血窦显示“毛细血管化”改变,由肿瘤新生动脉供血,称为“非配对”动脉,即不伴小胆管和门静脉的动脉结构;病理学上aHCC组织内无汇管区结构,仅于肿瘤周边可见受侵内陷的汇管区,与周围肝组织分界清,可见纤维包膜[3, 15]。
综上,本标准通过总结eHCC的影像学征象,为影像科医师和临床医师提供明确诊断依据,以期提高eHCC检出率及临床诊断符合率,为深入开展eHCC影像组学研究、合成诊疗一体化探针以及制备肝纤维化可逆转期探针提供理论基础,同时有助于制订治疗方案及评估疗效。
参考文献:
[1] WANG M, WANG Y, FENG X, et al. Contribution of hepatitis B virus and hepatitis C virus to liver cancer in China north areas: Experience of the Chinese National Cancer Center[J]. Int J Infect Dis, 2017, 65: 15-21. DOI: 10.1016/j.ijid.2017.09.003.
[2] National Health and Family Planning Commission of the People's Republic of China. Diagnosis, management, and treatment of hepatocellular carcinoma (V2017)[J]. J Clin Hepatol, 2017, 33(8): 1419-1431. DOI: 10.3969/j.issn.1001-5256.2017.08.003.
中华人民共和国国家卫生和计划生育委员会. 原发性肝癌诊疗规范(2017年版)[J]. 临床肝胆病杂志, 2017, 33(8): 1419-1431. DOI: 10.3969/j.issn.1001-5256.2017.08.003.
[3] International Consensus Group for Hepatocellular Neoplasia. Pathologic diagnosis of early hepatocellular carcinoma: A report of the international consensus group for hepatocellular neoplasia[J]. Hepatology, 2009, 49(2): 658-664. DOI: 10.1002/hep.22709.
[4] HYTIROGLOU P. Well-differentiated hepatocellular nodule: Making a diagnosis on biopsy and resection specimens of patients with advanced stage chronic liver disease[J]. Semin Diagn Pathol, 2017, 34(2): 138-145. DOI: 10.1053/j.semdp.2016.12.009.
[5] KOBAYASHI M, IKEDA K, HOSAKA T, et al. Dysplastic nodules frequently develop into hepatocellular carcinoma in patients with chronic viral hepatitis and cirrhosis[J]. Cancer, 2006, 106(3): 636-647. DOI: 10.1002/cncr.21607.
[6] DIETRICH CF, KONO Y, COSGROVE D, et al. Contrast enhanced ultrasound: Liver imaging reporting and data system (CEUS LI-RADS)[J]. Ultrasound Med Biol, 2017, 43: s38-s39.
[7] Abdominal Study Group, Chinese Society of Radiology, Chinese Medical Association. Standard guidelines for abdominal CT scan (trial version)[J]. Chin J Radiol, 2007, 41(9): 999-1004. DOI: 10.3760/j.issn:1005-1201.2007.09.031.
中华医学会放射学分会腹部学组. 腹部CT扫描规范指南(试用稿)[J]. 中华放射学杂志, 2007, 41(9): 999-1004. DOI: 10.3760/j.issn:1005-1201.2007.09.031.
[8] DING Y, RAO SX, CHEN C, et al. Assessing liver function in patients with HBV-related HCC: A comparison of T1 mapping on Gd-EOB-DTPA-enhanced MR imaging with DWI[J]. Eur Radiol, 2015, 25(5): 1392-1398. DOI: 10.1007/s00330-014-3542-x.
[9] PIETRYGA JA, BURKE LM, MARIN D, et al. Respiratory motion artifact affecting hepatic arterial phase imaging with gadoxetate disodium: Examination recovery with a multiple arterial phase acquisition[J]. Radiology, 2014, 271(2): 426-434. DOI: 10.1148/radiol.13131988.
[10] van KESSEL CS, VELDHUIS WB, van den BOSCH MA, et al. MR liver imaging with Gd-EOB-DTPA: A delay time of 10 minutes is sufficient for lesion characterisation[J]. Eur Radiol, 2012, 22(10): 2153-2160. DOI: 10.1007/s00330-012-2486-2.
[11] ESTERSON YB, FLUSBERG M, OH S, et al. Improved parenchymal liver enhancement with extended delay on Gd-EOB-DTPA-enhanced MRI in patients with parenchymal liver disease: Associated clinical and imaging factors[J]. Clin Radiol, 2015, 70(7): 723-729. DOI: 10.1016/j.crad.2015.03.005.
[12] BASHIR MR, MERKLE EM. Improved liver lesion conspicuity by increasing the flip angle during hepatocyte phase MR imaging[J]. Eur Radiol, 2011, 21(2): 291-294. DOI: 10.1007/s00330-010-1917-1.
[13] YANG ZH, FENG F, WANG XY. A guide to technique of magnetic resonance imaging[M]. Beijing: People's Military Medical Press, 2007: 185-212.
杨正汉, 冯逢, 王霄英. 磁共振成像技术指南[M]. 北京: 人民军医出版社, 2007: 185-212.
[14] SATO T, KONDO F, EBARA M, et al. Natural history of large regenerative nodules and dysplastic nodules in liver cirrhosis: 28-year follow-up study[J]. Hepatol Int, 2015, 9(2): 330-336. DOI: 10.1007/s12072-015-9620-6.
[15] NIU ZS, NIU XJ, WANG WH, et al. Latest developments in precancerous lesions of hepatocellular carcinoma[J]. World J Gastroenterol, 2016, 22(12): 3305-3314. DOI: 10.3748/wjg.v22.i12.3305.
[16] European Association for the study of the liver; European Organisation for Research and Treatment of Cancer. EASL-EORTC clinical practice guidelines: Management of hepatocellular carcinoma[J]. J Hepatol, 2012, 56(4): 908-943. DOI: 10.1016/j.jhep.2011.12.001.
[17] TERRAULT NA, LOK A, MCMAHON BJ, et al. Update on prevention, diagnosis, and treatment of chronic hepatitis B: AASLD 2018 hepatitis B guidance[J]. Hepatology, 2018, 67(4): 1560-1599. DOI: 10.1002/hep.29800.
[18] OMATA M, CHENG AL, KOKUDO N, et al. Asia-Pacific clinical practice guidelines on the management of hepatocellular carcinoma: A 2017 update[J]. Hepatol Int, 2017, 11(4): 317-370. DOI: 10.1007/s12072-017-9799-9.
[19] KIM BR, LEE JM, LEE DH, et al. Diagnostic performance of gadoxetic acid-enhanced liver MR imaging versus multidetector CT in the detection of dysplastic nodules and early hepatocellular carcinoma[J]. Radiology, 2017, 285(1): 134-146. DOI: 10.1148/radiol.2017162080.
[20] SANO K, ICHIKAWA T, MOTOSUGI U, et al. Imaging study of early hepatocellular carcinoma: Usefulness of gadoxetic acid-enhanced MR imaging[J]. Radiology, 2011, 261(3): 834-844. DOI: 10.1148/radiol.11101840.
中华医学会放射学分会传染病学组,中国医师协会放射医师分会感染影像专业委员会,中国研究型医院学会感染与炎症放射学专业委员会,等. 乙型肝炎病毒相关早期肝细胞癌影像学检查与诊断标准共识[J]. 临床肝胆病杂志, 2021, 37(4): 787-791.
本文编辑:王莹
公众号编辑:邢翔宇
权威发布|原发性肝癌二级预防共识(2021年版)
权威发布|中国肝癌多学科综合治疗专家共识
权威发布|阻断乙型肝炎病毒母婴传播临床管理流程(2021年)
健康
-
-
- 从不吃早餐到胆囊癌仅4步!危害还有这6个
- 一日三餐早餐占据非常重要的位置但很多人为了图省事直接跳过它长此以往可能会给身体带来巨大的伤害从不吃早餐到胆囊癌仅4步不吃早餐-胆结石-胆囊炎-胆囊癌第一步:不吃早餐肝脏每天为我们制造胆汁,不吃饭的时候...
- 未央健康
-
-
-
- 权威发布|乙型肝炎病毒相关早期肝细胞癌影像学检查与诊断标准共识
- 原发性肝癌是全球范围内常见的第七大威胁人类健康的恶性肿瘤,致死率高居癌症第3位,其中70%~85%病理类型为肝细胞癌(HCC),我国70%以上HCC继发于HBV感染[1]。原发性肝癌诊疗规范(2017年版)指出,肝癌是我国目前...
- 临床肝胆病杂志
-
-
-
- 这些食物膝关节炎患者建议多吃
- 多吃西兰花众所周之西兰花有益健康,但是新研究发现,西兰花还具有防止骨关节炎的功效。其机理是,西兰花中的化学物质萝卜硫素可以减缓软骨受损进程。这些食物也是“抗炎高手”抗发炎食物关节炎是身体发炎反应,...
- 骨科大夫
-
-
-
- 没有症状的高尿酸无关痛痒?这样吃让你远离痛风!
- ▎药明康德内容团队编辑痛风被许多人认为是“天下第一痛”。英国著名漫画家詹姆斯·吉尔瑞于1799年发表的《痛风》漫画,将痛风描绘成一个正在啃噬人脚的黑色魔鬼,形象而深切地表现出痛风病人的痛苦。可能有些人...
- e药环球
-
-
-
- 终于来了!国家药监局修订小儿氨酚黄那敏等14种抗感冒药说明书!
- 作者:Gcplive来源:药评中心普通感冒是儿童最常见的一种疾病,复方感冒药是儿童最容易被误用的一类药物。很多家长不仔细阅读药品说明书,不了解复方感冒药的成分,也不了解感冒药还会引起致命的不良反应,给孩...
- 药评中心
-
-
-
- 胰腺癌不痛不痒?提醒:这4个异常是胰腺癌的警示灯!劝你别忽视[新民健康]
- 随着我国居民生活方式的变化以及人口老龄化的到来,胰腺癌的发病率也在明显上升。胰腺癌有“癌中之王”的称号,其早期症状不明显,病情进展迅速,如果未在疾病早期治疗,可在短时间内发生扩散,导致患者的生命受...
- 新民健康
-
-
-
- 警惕!9名大学生紧急入院!
- 来源:中国青年报、扬子晚报4月13日晚,江苏南京120陆陆续续接到来自南京江宁大学城某学校学生的求助。有多名学生同时出现了头晕、心慌甚至烦躁不安的症状,而这些学生都是在抽了一种网上购买的电子烟后出现的上...
- 掌上医讯心血管频道
-
-
-
- 五一假期健康提示:人与动物保持距离,防范人兽共患病
- 人兽共患病人兽共患病顾名思义,是指人和动物都会罹患,部分病原体可以在人和动物间相互传播的疾病。人兽共患病的种类很多,有记载的人兽共患病约200种,常见的有狂犬病、布鲁氏菌病(简称布病)、炭疽等,罕见...
- 科普北京
-
-
-
- 2021 CSCO 指南会|大丰收之年:各领域肿瘤专家共同见证CSCO指南更新!
- 2021年CSCO指南大会于4月23日以线上线下相结合的方式在北京拉开帷幕。来自全国各肿瘤领域的专家和学者齐聚一堂,交流学术研究成果,讨论未来发展方向,共同见证多部指南更新。今年,CSCO系列指南迎来了大丰收,...
- 医脉通肿瘤科
-
-
-
- 术后康复,欲速如何达?|朝花夕拾·协和八
- 朝花夕拾小编按:手术,在发挥治疗作用的同时,也是对机体的创伤与打击。每次对患者说, 「术后早下地」、「早日康复」时,你知道如何系统地加速康复吗?下面我们从麻醉角度来介绍。不想看字?点击音频!▼加速...
- 协和八
-
-
-
- 新辅助免疫治疗在非小细胞肺癌中的研究进展
- 本文来源:肿瘤研究与临床, 2021,33(1) : 65-69. DOI: 10.3760/cma.j.cn115355-20200828-00493本文引用:郭寒菲, 李汶倩, 崔久嵬. 新辅助免疫治疗在非小细胞肺癌中的研究进展 [J]
- 肿瘤免疫细胞治疗资讯
-
-
-
- D-二聚体用于急性胸痛诊断和鉴别,协和专家为你划重点!
- 急性心肌梗死(AMI)、急性肺栓塞(APE)和急性主动脉夹层(AAD)是急性胸痛的三大常见病因,且属于高危胸痛。遇到急性胸痛患者,应首先考虑这三大病因。D-二聚体对上述三种疾病的诊断和鉴别具有重要价值。临床...
- 医脉通心内频道
-
-
-
- 关于疫苗接种,最新情况通报!
- 国务院联防联控机制21日召开新闻发布会介绍,全国累计报告接种新冠疫苗已经超过2亿剂次。还有哪些信息值得关注?一起来看——疫苗接种:超两亿剂次截至目前,全国累计报告接种新冠疫苗超过2亿剂次。当前新冠疫苗...
- 人口健康报
-
-
-
- 原来胃病不能喝粥!真正有效的“养胃秘诀”送你,拿好不谢!
- 胃不舒服 喝粥真的有用吗?香港明星惠英红日前在节目中表示胃病不能喝粥引发了今天的微博热门话题原来喝粥并不养胃。张文宏也曾说过:吃鸡蛋喝牛奶有营养。什么情况下能喝粥?哪些食物不养胃?真正有效的“养胃...
- 大河微医
-
-
-
- 1.7亿人发病!这种吃出来的疾病,让人关节变形、血管受伤,太危险!
- 提起“三高”,大家都不陌生,“高血压、高血脂、高血糖”像三道难以跨过的障碍,横亘在人们通往健康长寿的路上。近些年来,另一种威胁健康的危险因素——“高尿酸”正在悄然壮大,“绑架”了越来越多的人,成为...
- 山东世医堂中医文化研究院
-
