- 胃镜查出“癌前病变”,TA离癌还有几步?这些“老胃病”,定期复查别偷懒!
- 来源:杭州日报养生道
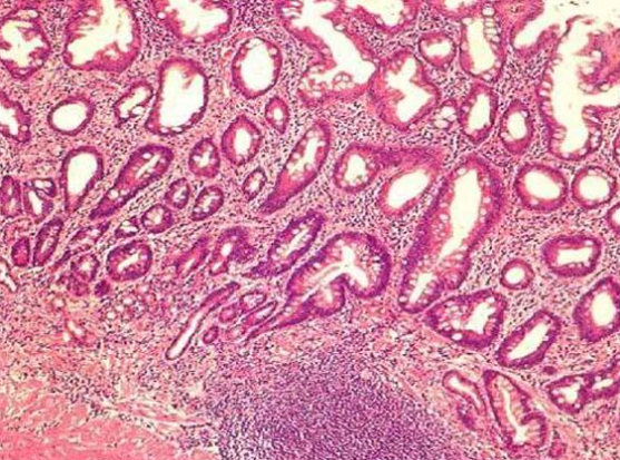
萎缩、肠化,是目前中老年胃病患者最担心,也是患病率较高的一种癌前病变。
很多朋友提到慢性萎缩性胃炎、肠化就会联想到癌变。一旦查出,更是紧张得吃不下饭、睡不着觉,甚至对医生的解释半信半疑,以为医生在好心欺骗自己。
“请你说实话,
我是不是快得胃癌了?”
早上7点30分,杭州市红十字会医院消化科主任陈建永准时出现在专家门诊诊室,开始了当天的诊疗。
这时,63岁的张大爷(化名)泪流满面地走了进来,手里拿着一张刚刚拿到的胃镜病理报告单:“陈主任,请你说实话,我能承受!我是不是快得胃癌了?”
陈主任接过报告单,看到单子上写着:慢性中度浅表性胃炎伴轻度萎缩、肠化。“我是萎缩性胃炎,能治好吗?我还有肠化,是不是要变癌了!”张大爷情绪激动。
什么是萎缩、肠化?
癌前病变是癌症发生前的一些病理状态。虽然癌症都会经历癌前病变,但癌前病变不是癌症,也不一定发展成癌症,大部分会处于一种稳定状态,有的甚至会逆转到正常状态,最终有极小一部分演变成癌症。
慢性萎缩性胃炎是慢性胃炎的一种类型。简单解释,慢性萎缩性胃炎就是因为多种原因,导致胃粘膜变薄,分泌消化液的腺体减少。
慢性萎缩性胃炎在55岁人群中非常普遍,检出率大于50%。目前认为,绝大多数慢性萎缩性胃炎治疗效果比较理想,仅少数会癌变(多数研究发现癌变率不超过3%)。但有一点值得注意:一旦胃黏膜出现不典型增生,癌变机会将会明显增加。
预防胃癌,
可从这些方面着手!
如何调理养胃?专家有两招!
这些“老胃病”一定要定期复查!
萎缩性胃炎但病理检查没有肠上皮化生和异型增生的患者:建议每1~2年做胃镜和病理检查一次。
病理检查中有中、重度萎缩或者伴有肠上皮化生的萎缩性胃炎患者:建议每年随访一次。
胃镜检查发现轻度异型增生的患者:6个月后再次做胃镜及病理检查一次。
重度异型增生的患者:立即复查胃镜和病理,根据医生指导,可以选择手术治疗或胃镜下局部治疗。
来源:健康杭州
健康
-
-
- 补贴来了!你在线报名申领了吗?
- 3月20日是世界口腔健康日今年主题是"为健康口腔而自豪"先拥有健康的口腔才能为口腔的健康而自豪做好口腔健康保健涉及到全生命周期的每一个阶段这个世界口腔健康日让我们再次提高口腔健康意识关注全生命周期口腔...
- 最爱大北京
-
-
-
- 这种“难言之隐”,你可曾遇到?
- 当代女性承受着较大的压力,不仅是家庭的重要支柱,还是职场精英,顾得了家庭,干得好工作。来源pixabay当重重压力反馈到身体上,就让不少女性深受其苦。漏尿你可曾遇到过,如何进行调理,在这给你支一招。漏尿...
- 子宫科普
-
-
-
- 水果不减肥不通便,水果的好处只有一个——到底怎样吃水果?
- 大家好,我是米医生随着天气变热气温升高你身边是不是也有个觉得水果各种好的父母经常催着你吃水果认为水果一定要多吃我这么说可不是空穴来风临床上遇到太多患者会问我孩子便秘要不要多吃点水果啊?怀孕了要不要...
- 素问轩
-
-
-
- 「精神障碍从未被写入病理学课本?」——问题背后的重要信息|专家视角
- 医脉通导读从最有用的角度出发,「疾病」这个概念应该被理解为「所有高度痛苦及损害功能的临床状况的集合」,而不仅仅是「脑子出了问题」之类。精神障碍是不是真正的疾病,这一点并不取决于病理学课本有没有将其...
- 医脉通精神科
-
-
-
- 胃镜查出“癌前病变”,TA离癌还有几步?这些“老胃病”,定期复查别偷懒!
- 萎缩、肠化,是目前中老年胃病患者最担心,也是患病率较高的一种癌前病变。很多朋友提到慢性萎缩性胃炎、肠化就会联想到癌变。一旦查出,更是紧张得吃不下饭、睡不着觉,甚至对医生的解释半信半疑,以为医生在好...
- 杭州日报养生道
-
-
-
- 400万患者,儿童占一半!这种病,正在折磨上百万家庭
- 每逢换季 ,气温忽高忽低,发热、炎症、腹痛这些症状都会找上门来。不少家长,都被孩子的这些问题折腾的够呛。家里医院来回跑,量测体温,勤换尿裤,哄娃喂药......发愁的是时间精力没少花,可孩子的病就是不见...
- 医知袋鼠
-
-
-
- Nature直击遗传学基本规则,开启癌症治疗新时代
- “蛋白质对我们的身体功能至关重要,其产生过程涉及DNA转化为RNA。有时,该过程可能会出错,对人类健康可能造成毁灭性后果。迄今为止,还没有人发现针对这一必不可少的过程,以抗击癌症为目标的治疗方式,这是癌...
- 生物通
-
-
-
- 脂肪肝是哪些因素造成的?如何预防与调养?快来看这些专家建议……
- !脂肪肝调养指南正确的食疗和调养方法专家简介马淑然医学博士,北京中医药大学教授,主任医师,中医基础理论专业博士生导师,中医基础理论教研室主任,北京中医药大学国医堂门诊专家。清代御医韩一斋第三代传人...
- 科普北京
-
-
-
- 辽宁人就医看病将有大变化!
- 提起上医院相信很多小伙伴都有切身感受:最让人打怵的不是治疗过程而是排队……辽宁省卫健委发布《进一步做好预约诊疗工作的通知》《辽宁省老年友善医疗机构建设实施方案》 全省二级以上综合医院全面实行预约...
- 新北方
-
-
-
- 氢吗啡酮通过调节HO-1表达改善线粒体动力学平衡从而减轻二氧化碳气腹相关性肺损伤
- 腹腔镜手术是近年来应用广泛的一类微创手术方式,具有减少失血量、缩短患者住院时间、恢复快等优点。但是,腹腔镜手术期间建立的气腹,常常对呼吸功能产生不利影响。二氧化碳(CO2)作为气腹常用的充气介质,可提...
- 人福镇痛E线
-
-
-
- 革命性的全新抗癌疗法来了!临床试验疗效优异获缩减临床时间,多种癌症或将大幅受益!
- 在未来,人类治疗肿瘤会是什么样子的?这是一个非常值得畅想的问题。过去的一个多世纪以来,人类与肿瘤的斗争未曾停歇。为了对付肿瘤,我们创造了手术、放疗、化疗、靶向治疗,以及近几年来充满希望的免疫治疗等...
- 咚咚癌友圈
-
-
-
- 胖子早晨要拍手,瘦子晚上得泡脚,你做对了吗?
- 不同体型的人虽然具有不同的体质和不同的生理特点,但通过适当的养生手段可以使机体处于更为平衡的状态,否则就容易出现病理状态。从中医理论上说,胖人大多阳气偏虚,体内有痰有湿,动作较缓,不大喜欢活动,活...
- 健康
-
-
-
- 早啊,健康来了![2021.4.27]
- 【创伤后是否患应激障碍,AI诊断准确率高】人工智能技术正逐步改变着社会生活,医疗领域则成为其展现能力的重要舞台。近日,美国纽约大学研究人员开发出一种特殊的计算机程序,可以通过分析人们的语音来帮助诊断...
- 宁夏微健康
-
-
-
- 1个只有皇帝才会得的病,竟然折磨了我十年!!
- 很多人都很疑惑也很关心痛风的问题,借此时机,小编啰嗦几句给大家讲讲,希望对大家有所帮助。1.高尿酸血症就是痛风吗?不能划等号!我国成人高尿酸血症患病率约10%,但痛风的患病率只有约1%-2%,也就是说每10个...
- 检验医学网
-
-
-
- 实用收藏:肺炎、慢阻肺、哮喘评分量表总结
- 本文为您总结有关肺炎、慢阻肺、哮喘的常用的评分量表,以及其临床意义。肺炎有关肺炎最常用的两个评分为CURB-65(CUR-65)及PSI两个评分CURB-65评分是由美国胸科协会在2003年提出,具有简洁、敏感度高、易于临床...
- 医脉通呼吸频道
-
