- 细菌性肺炎与病毒性肺炎鉴别,详细影像举例!│以影识病
- 来源:医脉通呼吸频道
肺炎的病原体非常广泛,包括细菌、真菌、病毒和原虫等。细菌性肺炎和病毒性肺炎临床特征及影像学特征均有不同,本文概括介绍细菌性肺炎和病毒性肺炎的影像、临床特征、诊断和管理。
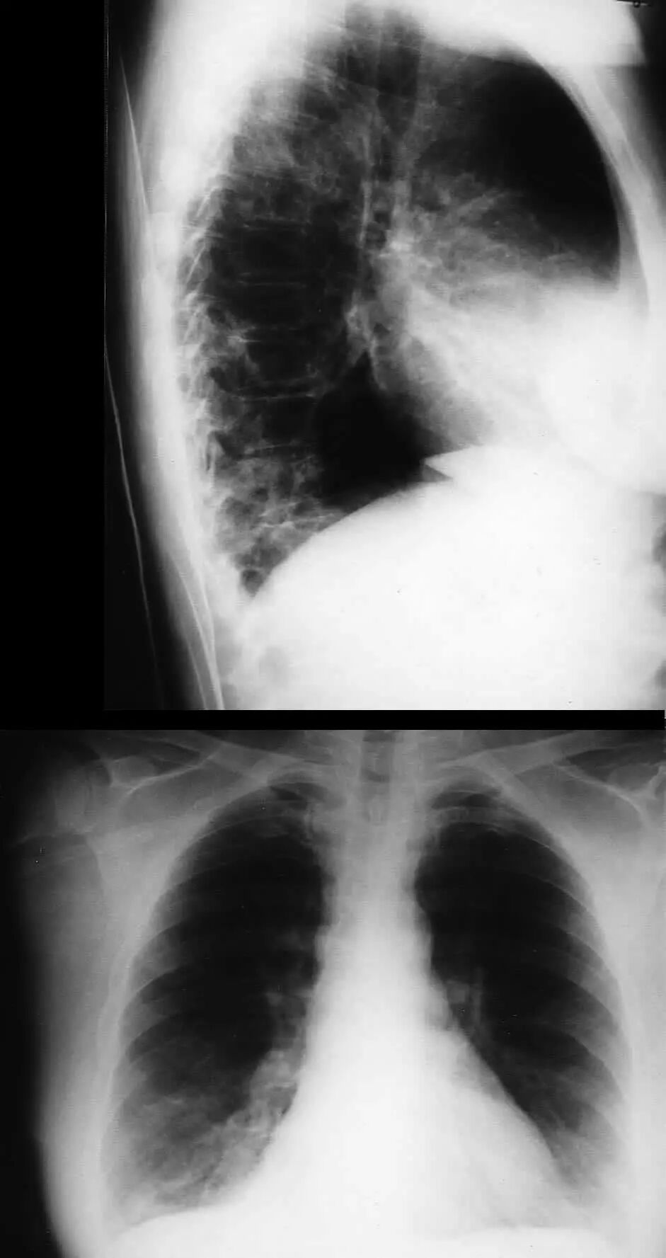
图1.1 细菌性肺炎。右上叶肺炎患者的放射影像。胸廓前后径增大,提示有慢性阻塞性肺疾病(COPD)。
图1.2 细菌性肺炎。双肺下叶肺炎患者影像。
图1.3 细菌性肺炎。早期右肺中叶肺炎的影像学表现。
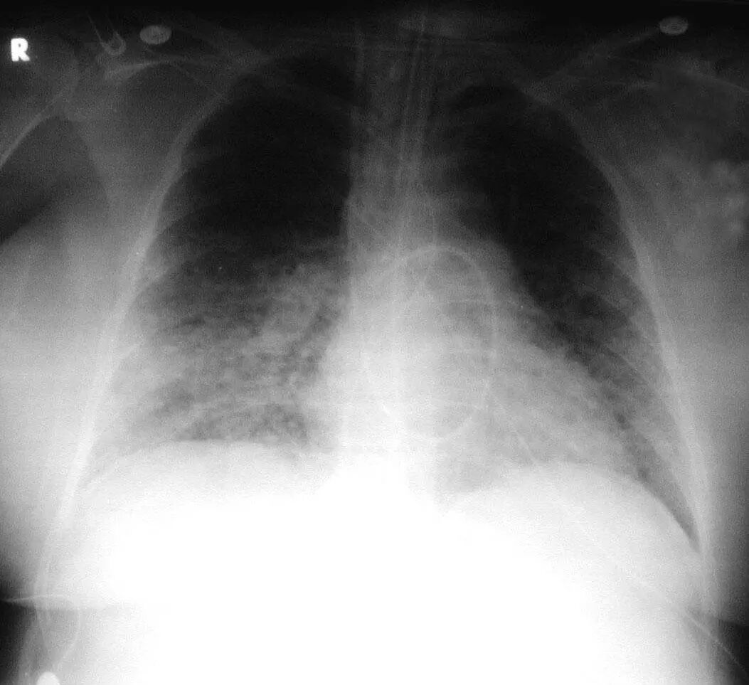
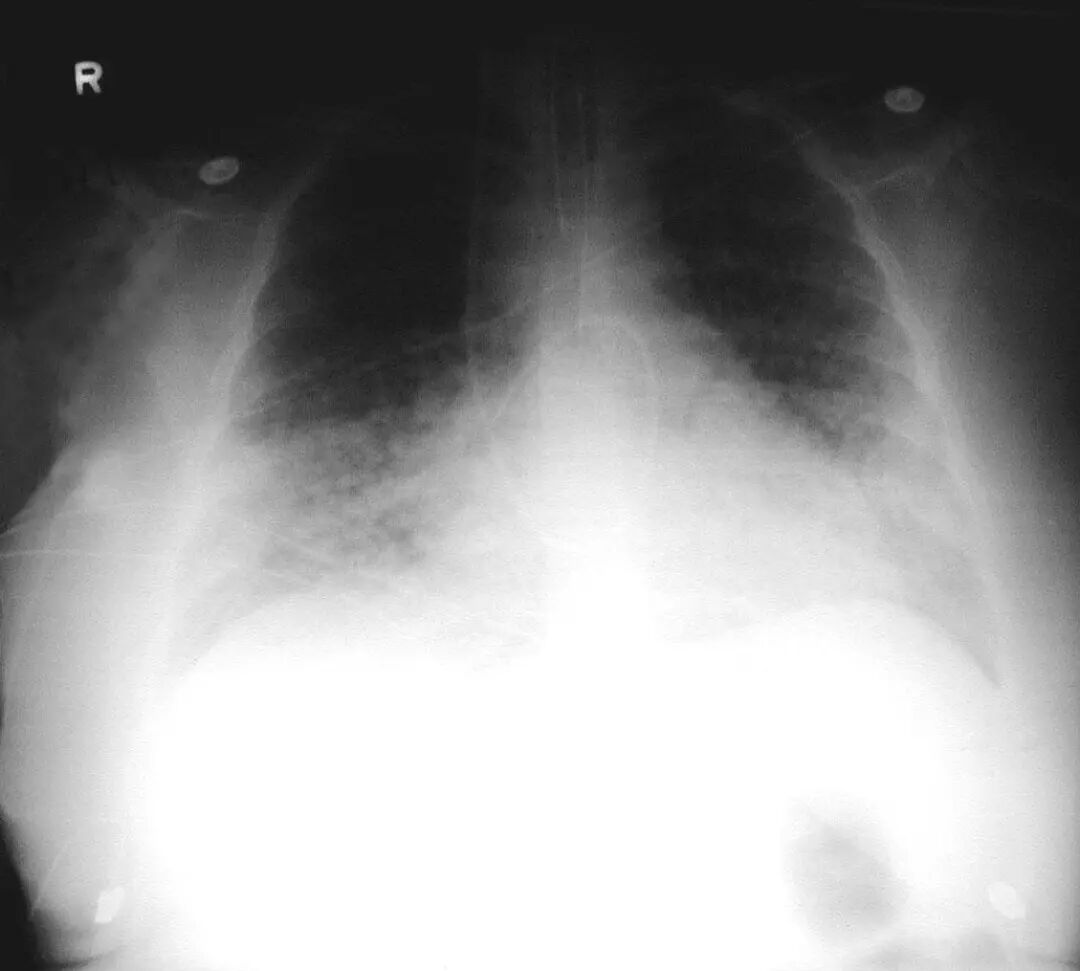
图1.4 53岁的严重军团菌肺炎患者。胸片显示双肺下叶致密实变。
图1.5 40岁肺炎衣原体患者。胸片显示右上、中、下叶多灶性斑片状实变。
图1.6 38岁的支原体肺炎患者。胸部X线片显示左下叶模糊不透明影。
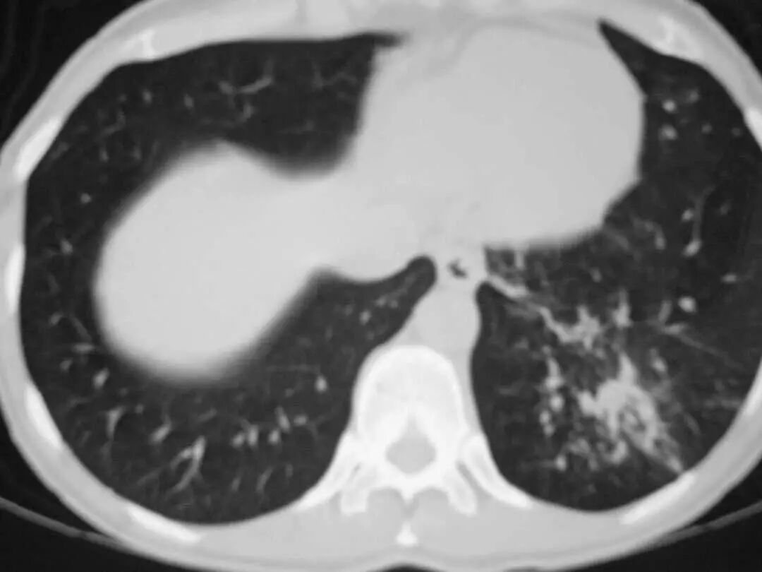
图1.7 CT扫描显示左下叶模糊的气腔浸润。
图1.8 45岁的衣原体肺炎患者的胸部CT扫描显示右上叶浸润。
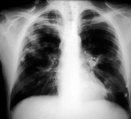
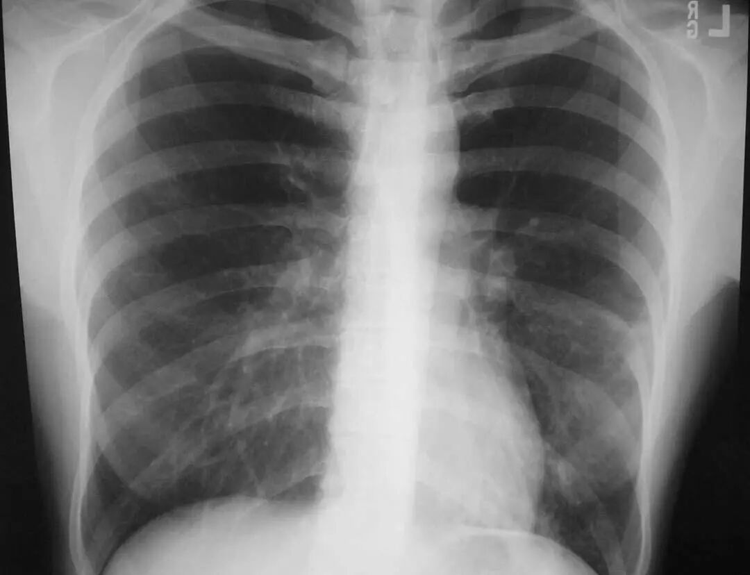
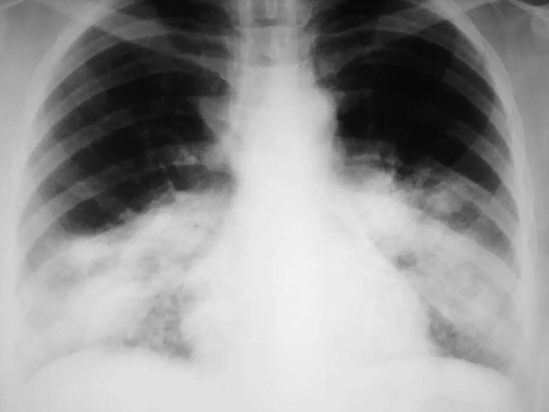
图1.9 49岁肺炎球菌性肺炎患者, 胸部X线片显示左下叶不透明伴胸腔积液。
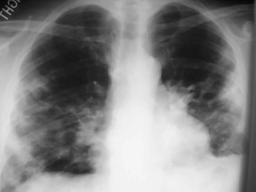
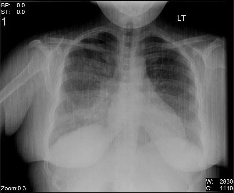
图1.10 48岁的流感嗜血杆菌性肺炎患者, 胸部X线片显示双侧不透明,主要分布在外周。
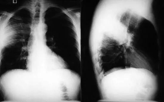
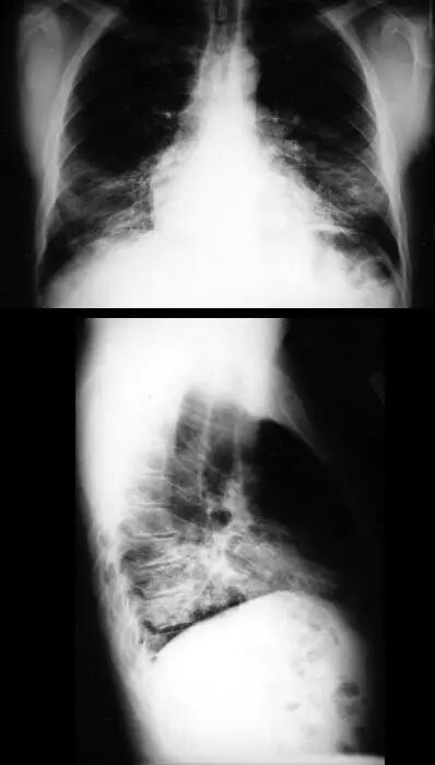
图1.11 49岁的肺炎球菌性肺炎患者, 胸部CT显示左上叶不透明延伸至外周。
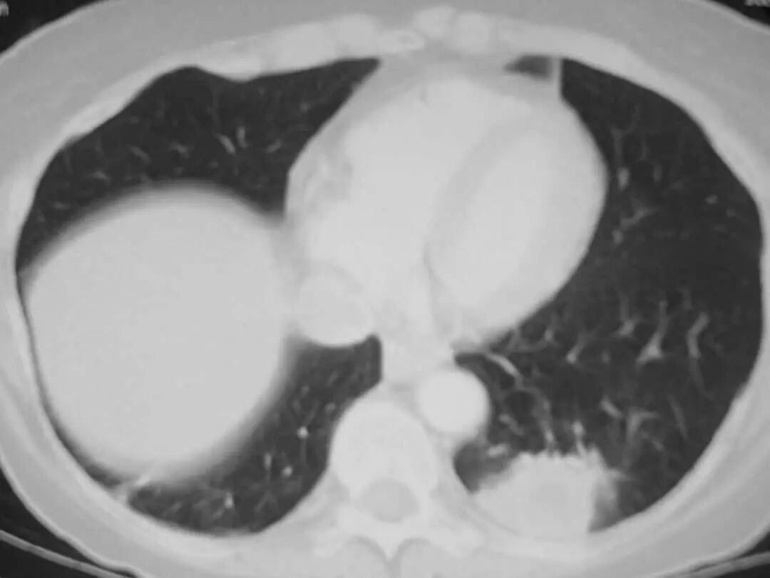
图1.12 50岁流感嗜血杆菌肺炎患者胸部CT。显示左下叶胸膜附近有致密圆形实变。
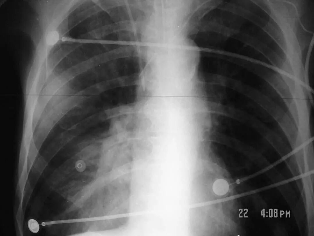
图1.13 患者HIV感染,双侧肺门周围浸润和肺孢子虫性心包炎。
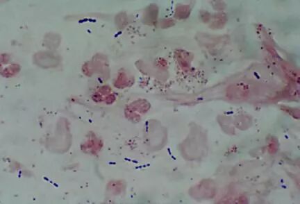
图1.15 (左)革兰氏染色显示成对和链状的革兰氏阳性球菌,(右)肺炎链球菌培养阳性。
图1.16 革兰氏染色显示肺炎链球菌。
图1.17 革兰氏染色显示流感嗜血杆菌。
图1.18 革兰氏染色显示卡他莫拉菌
图1.19 痰液直接荧光抗体染色显示军团菌感染。
图2.1病毒性肺炎:52岁妇女发热,咳嗽和呼吸困难。面部和躯干出现皮疹。胸部X线片显示间质浸润,有小结节。Tzanck涂片结果为水痘带状疱疹病毒。
图2.2 上图(图2.1)患者接受阿昔洛韦治疗7天后,水痘-带状疱疹病毒感染消退。
图2.3 31岁流感肺炎患者双肺间质浸润。
图2.4 2个月龄男孩肺炎患者,右中叶浸润,呼吸道合胞病毒(RSV)感染。
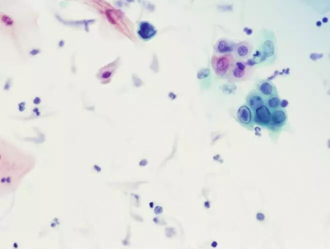
图2.5 巴氏染色(Pap),疱疹病毒的(被感染细胞位于右中部)。
图2.6 巨细胞病毒(中心)巴氏染色(Pap)。该细胞具有非常大的深色核内包含体。
图2.7 麻疹后,巨细胞肺炎的苏木精-伊红染色。多核细胞(中心)包含嗜酸性核内包含体。
奥司他韦(胶囊/颗粒):成人剂量每次75mg,每日2次。1岁以下儿童推荐剂量:0~8月龄,每次3.0mg/kg,每日 2 次;9~11月龄,每次3.5mg/kg,每日 2 次。1岁及以上年龄儿童推荐剂量:体重不足15kg者,每次30mg,每日2次;体重15~23kg者,每次45mg,每日2次;体重23~40kg者,每次60mg,每日2次;体重大于40kg者,每次75mg,每日2次。疗程5天,重症患者疗程可适当延长。肾功能不全者要根据肾功能调整剂量。
扎那米韦(吸入喷雾剂):适用于成人及7岁以上青少年,用法:每次10mg,每天2次(间隔12小时),疗程 5 天。慢性呼吸系统疾病患者用药后发生支气管痉挛的风险较高,应慎用。
帕拉米韦:成人用量为300~600mg,小于30天新生儿6mg/kg,31~90天婴儿8mg/kg,91 天~17岁儿童10mg/kg,静脉滴注,每日1次,1~5 天,重症患者疗程可适当延长。
健康
-
-
- 身体缺了它,40多种疾病找上门!多数人极度缺乏,教你一招吃回来!
- 有一种元素,在人体内的含量仅为千万分之一,但是一旦缺乏,会对机体造成非常严重的伤害!这种元素就是“硒”。临床医学证实,威胁人类健康和生命的四十多种疾病都与人体缺硒有关,如癌症、肝病、白内障、胰脏疾...
- 未央健康
-
-
-
- 每年有800万人死于烟草相关疾病,你戒烟了吗?
- 不要低估烟草的危害你身边烟草“幸存者”的个例并不能改变统计数字证明的事实每年有800万人死于烟草相关疾病吸烟会缩短你的寿命侥幸心理也不能保你平安你戒烟了吗?来和烟瘾做个了断吧!来源:国家卫生健康委员...
- 全民健康生活方式行动
-
-
-
- 细菌性肺炎与病毒性肺炎鉴别,详细影像举例!│以影识病
- 肺炎的病原体非常广泛,包括细菌、真菌、病毒和原虫等。细菌性肺炎和病毒性肺炎临床特征及影像学特征均有不同,本文概括介绍细菌性肺炎和病毒性肺炎的影像、临床特征、诊断和管理。医脉通编译整理,未经授权请勿...
- 医脉通呼吸频道
-
-
-
- MDT的力量II2021年四川大学华西医院无痛内镜诊疗全国观摩暨MDT专家面对面
- 2021年5月21日,由四川大学华西医院主办,宜昌人福药业承办的2021年四川大学华西医院无痛内镜诊疗全国观摩暨MDT专家面对面在成都天使宾馆顺利召开。本次会议由四川大学华西医院麻醉科梁鹏教授担任主持,特别邀请...
- 人福镇痛E线
-
-
-
- 6月10日后暂停接种第一针?官方最新回应!最新版接种禁忌和注意事项转给所有人
- 医脉圈汇聚医护力量,了解医学讯息,这里是医务人员沟通、交流的心灵港湾。医脉圈汇聚医护力量,了解医学讯息,这里是医务人员沟通、交流的心灵港湾。医脉圈汇聚医护力量,了解医学讯息,这里是医务人员沟通、交...
- 医脉圈
-
-
-
- 辅助生殖促排卵药物治疗专家共识
- 辅助生殖促排卵药物治疗专家共识摘要辅助生殖技术(ART)的重要内容之一是促排卵治疗,其应用改善了临床妊娠率,但多胎妊娠、卵巢过度刺激综合征(OHSS)等并发症发生几率较高。促排卵最常用药物为克罗米芬(CC)、芳...
- 泰怡康成
-
-
-
- 异位妊娠来势凶险,以简驭急化险为夷
- 异位妊娠异位妊娠指受精卵在子宫体腔以外着床,俗称宫外孕。以输卵管妊娠最为常见(占95%左右),少见的还有卵巢妊娠、腹腔妊娠、宫颈妊娠和阔韧带妊娠。异位妊娠是妇产科常见的急腹症,发病率2%~3%[1],是早期...
- 检验视界网
-
-
-
- 每天有100多万人感染的性传播疾病,真的无法治愈吗?
- 根据世界卫生组织发布的数据,15-49岁人群中每天有100多万例新发且可治愈的性传播感染病例。目前我国的沙眼衣原体/淋球菌(CT/NG) 感染整体呈上升态势,作为患者负担较高的可治愈性传播感染疾病,CT/NG 感染防...
- 检验医学网
-
-
-
- 这10种情况是糖尿病加重的征兆,需要及时就医!
- 中国实用内科杂志实至名归 用者为尚这些情况不能视而不见!糖尿病患者出现哪些症状变化,提示自身病情加重,应该及时就医呢?1//“三多一少”症状从无到有、由轻到重,提示病情加重“三多一少(口渴、多饮、多...
- 中国实用内科杂志
-
-
-
- 含收费条款!某地细胞和基因产业促进条例(征求意见稿)
- 作者:摩西 | 编辑:摩西前言 / 随着当前全球细胞、免疫、及其交集细胞免疫精准治疗技术的颠覆性突破、成功病例增加、专利数上升以及各国政府政策的转暖,相关产业链正处于其生命周期曲线的最临...
- 细胞王国
-
-
-
- 如何降低他汀类降脂药对肝脏的损害?
- 他汀类降脂药是临床上最常用的一种降脂药,但服用后确实有可能造成肝脏的损害,这也是部分朋友不敢吃他汀的一个重要原因,那么该如何降低他汀类降脂药对肝脏的损害呢?首先在准备服用他汀类降脂药前,要看下有无...
- 医患家
-
-
-
- 世界肠道健康日|肠健康,常健康!
- 点击右边小图标可收听本文音频哦5月29日是“世界肠道健康日”,肠道健康至关重要。据世界卫生组织统计,肠胃疾病对人类的威胁触目惊心:全球每年死于肠胃疾病的人数在 1000 万以上,中国有 1/5 的人口患有肠胃病...
- 老百姓大药房连锁股份有限公司
-
-
-
- 怀孕几个月,查出梅毒阳性?是不是老公有问题?
- 拓展阅读郁琦教授:打破绝经认识误区,激素治疗并不可怕接种HPV疫苗不能等,能约上哪个打哪个这个癌症几乎没有症状,20-30%和遗传有关最全面的阴道炎防治秘籍,你一定要看看!日本性教育短片刷屏:无数网友看到...
- 医者部落
-
-
-
- 尿酸高一定需要使用降尿酸药治疗吗?
- (本文转自胡大一教授公众号“胡大一大夫”)最近,在门诊中遇到了这样一位患者。27岁的王先生,连续两年体检发现血尿酸水平波动在450~520 µmol/L(正常≤420 µmol/L),既往身体健康,没有过关节肿痛急性发作...
- 郭艺芳心前沿
-
-
-
- 如何从影像上判断,你被肿瘤侵犯了?
- 受访专家:中国医学科学院肿瘤医院影像诊断科主任 赵心明 教授↓↓↓知识点1:不同肿瘤的影像学检查方法不同医学影像在肿瘤的诊断、分期和疗效评估中有重要作用,影像质量影响着肿瘤诊断和治疗的质量。常规的影...
- 肿瘤免疫细胞治疗资讯
-
