-
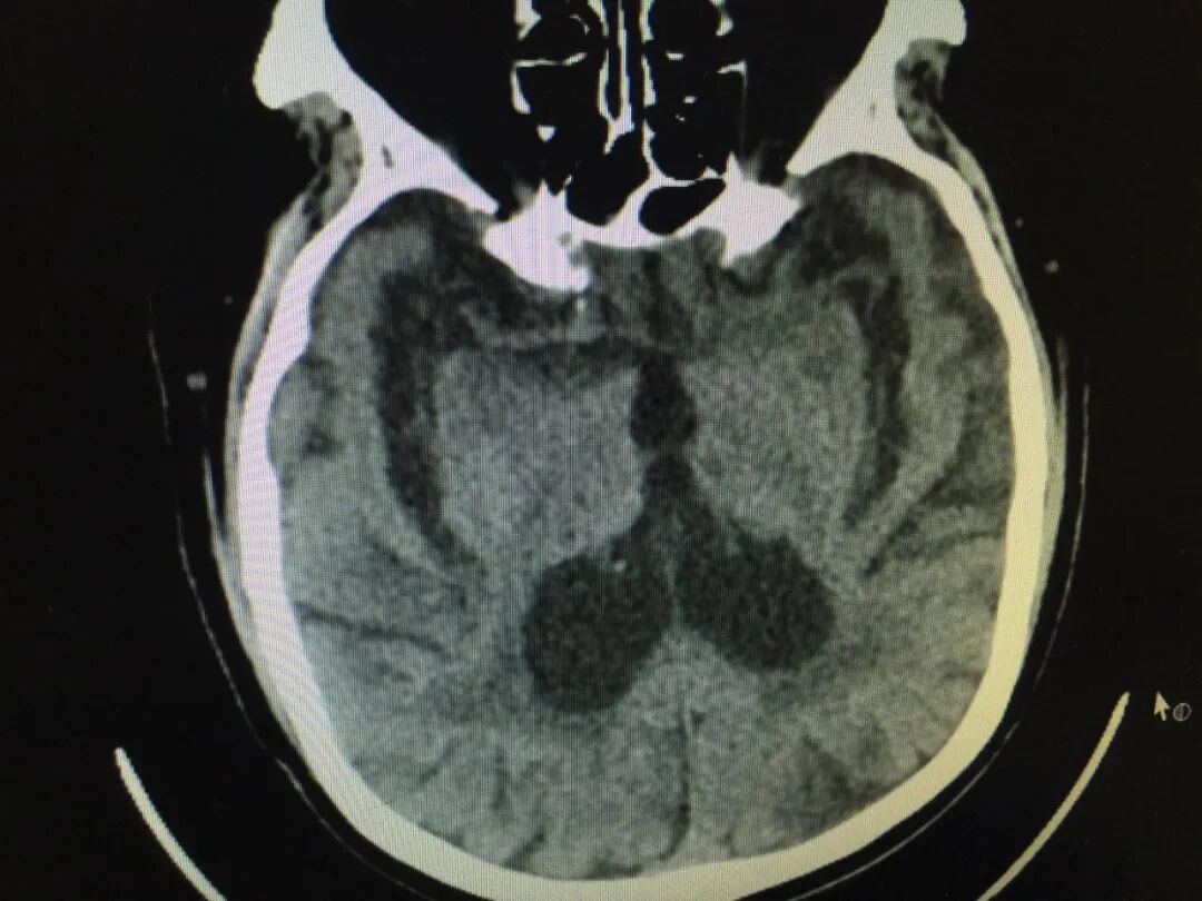
- 脑萎缩该怎么治疗?
- 来源:医患家
脑萎缩是指由各种原因导致的脑组织本身发生器质性病变而产生萎缩的一种现象。脑萎缩的发病原因多种多样,发病原因除了遗传这一不可避免的影响之外,最常见的致病因素是脑血管长期慢性缺血,导致脑组织处于慢性缺血缺氧状态,脑细胞功能受影响,进而形成脑萎缩。
脑萎缩的常见临床症状最为常见的就是记忆力减退,比如经常丢失日常用品,对近期发生的事件记忆缺损等,其他常见症状有失眠、反应迟钝、性格改变,严重的可能会出现“痴呆”表现。
针对不用病因导致的脑萎缩,治疗方法不尽相同。对于外伤、中毒、急性缺血或出血等可能导致脑萎缩的病因,应在大脑各种功能障碍出现的6个月以为,尽早解除损伤状态并开始针对性的康复治疗,因为在脑功能受损的前6个月中治疗效果最明确。
而对于慢性疾病,比如高血压、糖尿病、高脂血症等慢性疾病引起的脑萎缩则应积极治疗原发病,控制血压、血糖、血脂,尽可能避免或减少脑血管并发症,延迟脑萎缩出现的时间。
如果已经出现脑萎缩相关的症状,则需要使用改善认知功能以及减轻脑缺血缺氧状态的药物。
不论何种疾病,预防总比治疗有效。日常生活中宜增加体育锻炼,保证充足睡眠;积极参加各种良性社会活动,保持大脑学习接受新兴事物的功能;戒烟戒酒,注意健康饮食;定期体检,对原发病积极治疗,这样才能控制和延缓脑萎缩的发生发展。

-
-
- 艾曲波帕真的能治好血小板减少症吗?
- 艾曲波帕,近来经常被一些久治不愈的血小板减少奉为“神药”,到处“寻医问药”,到底这个药效果如何? 适应症艾曲波帕是一种促血小板生成素受体激动剂,主要适用于慢性免疫性血小板减少症患者,且对皮质激素、...
- 中国血液病病友会
-
-
- 好慌!今年高考来大姨妈/生病/想上厕所怎么办?这些临场突发事件应对方法请收好!
- 公众号后台回复:真题,即可领取近十年高考真题及答案高考,可以说是每个考生学习生涯中最重要的一次人生大考,在这个重要时刻,任何身体和情绪上的波动都可能给考生造成心理压力。考场里遇到临场突发事件考生该...
- 高中生家长圈
-
-
- 世界经期卫生日|你真的懂“大姨妈”吗?如何应对“姨妈疼”?
- 人民健康一切为了人民健康一切为了人民幸福关注众所周知,我们俗称的“大姨妈”就是指月经。月经在中医中是这么定义的,指有规律的周期性的子宫出血,月月如期,经常不变,故有“月信”“月事”“月水”之称,表...
- 人民网健康
-
-
- 直播预告|看协和“断肠人”细聊:不一样的便秘
- ● 看协和“断肠人”细聊:不一样的便秘 一到夏天,冰镇啤酒搭配路边烧烤,是每个人都无法拒绝的美食组合。可是,不少人的肠胃可就遭殃了,便秘、腹泻、腹痛、腹胀等等,反复发作好几天缓不过来。肠道是人体最大...
- 腾讯视频健康
-
-
- 脑萎缩该怎么治疗?
- 01(医患家特约作者:全科陈医生)脑萎缩是指由各种原因导致的脑组织本身发生器质性病变而产生萎缩的一种现象。脑萎缩的发病原因多种多样,发病原因除了遗传这一不可避免的影响之外,最常见的致病因素是脑血管长...
- 医患家
-
-
- 王振涛教授辨治心衰典型案例分享(五十六)
- 一般情况:卫某,男,32岁,已婚,河南南阳人,自由职业,否认药物食物过敏史,于2018年05月20日初诊。主诉:胸闷、气喘1月余。现病史:1月余前劳累后突发胸闷、气喘,夜间不能平卧。到当地医院诊治,诊断“扩张...
- 王振涛大夫
-
-
- 骨折术后的康复功能锻炼(含上肢、下肢),图文演示
- 由于意外导致骨折之后,对于骨折患者,在痛得死去活来之后,更要面临漫长的治疗、康复过程。俗语说伤筋动骨100天,那么在这100天时间里,应该怎样做才能更有利于骨折愈合,早日恢复强健的筋骨呢?骨折复位后,尽...
- 康复直通车
-
-
- 最新官方通知!这些肿瘤患者可以接种新冠疫苗!
- 近日,群众接种新冠病毒疫苗的热情高涨,很多地区都出现“一苗难求”的现象,可许多肿瘤患者急昏了头,“大家正在愁预约不上,可我们还在纠结肿瘤患者到底能不能打新冠疫苗。”此前,北京疾控中心和央视新闻均表...
- 胃癌康复圈
-
-
- 致9名大学生紧急入院!官方首次明确:不安全!
- 即将到来的5月31日是第34个世界无烟日,今年的主题为“承诺戒烟”。国家卫健委与世界卫生组织驻华代表处26日联合举办新闻发布会,发布《中国吸烟危害健康报告2020》。《报告2020》新增加了电子烟的健康危害章节...
- 杭州日报
-
-
- 紧急通知,这17种情形暂缓接种新冠疫苗!
- 本土疫情再现,新冠疫苗接种迎来热潮,随着经验总结的积累,新冠疫苗接种须知也在不断完善。近日,广东省卫健委发布《新冠病毒疫苗接种技术指南(第一版)》,根据广东省各地已有一些疑似预防接种异常反应(Adve...
- 幼儿园手工
-
-
- 新冠疫苗接种不良反应数据公布!
- 5月28日,中国疾控中心网站发布了该中心和国家药品不良反应监测中心联合公布的《全国新冠病毒疫苗预防接种不良反应监测信息概况》。监测信息显示,2020年12月15日至2021年4月30日,31个省、直辖市、自治区以及新...
- 健康报
-
-
- “广谱”新冠抗体获FDA紧急使用授权,抗击传染病,抗体疗法未来可期
- ▎药明康德内容团队编辑昨日,美国FDA宣布,授予由Vir Biotechnology和葛兰素史克(GSK)公司联合开发的单克隆抗体疗法sotrovimab紧急使用授权(EUA),用于治疗轻度至中度COVID-19成人和儿科患者。FDA新闻稿
- 药明康德
-
-
- 湿气重!还在傻傻的拔罐?开水里加1物,三天内逼出体内湿气
- 随着现代生活节奏加快,人没什么大病,就是早起不适,动不动就这儿疼,那儿酸,不仅脸色发黄、油腻、色斑不断,还总是痛经、宫寒、手脚冰凉、身体虚胖、便秘、大肚腩总是减不下去,睡眠时间不短,却总觉得睡不醒...
- 江苏交通广播网
-
-
- 缺钙缺锌?别怕!三条妙计助娃快乐成长
- 复制这段口令¥DW3pXUYztDs¥(含两边¥符号)进入养生堂旗舰店购买推/荐/阅/读 | 长高长高不用愁!10万青少年亲测有效,协和专家亲口告诉你 | 幽门螺杆菌担心孩子感染幽门螺杆菌?关于检查和治疗,这篇文章全...
- 小大夫漫画
-
-
- 乳腺癌会遗传吗?建议这五大人群做BRCA基因检测!
- 乳腺癌是女性常见的恶性肿瘤之一,发病率位居女性恶性肿瘤的首位。在所有乳腺癌中,约10%的患者具有家族聚集性,比如母亲和女儿、姐姐和妹妹同时患有乳腺癌,我们称为“遗传性乳腺癌”。绝大多数遗传性乳腺癌具...
- 肿瘤免疫细胞治疗资讯
公众号 • 医患家
- 医患家微信号 : yihuanjia
- 医患家”公众号是天津市科学技术委员会支持的科普基金项目,本平台是公益项目,旨在宣传医学科普知识,为大家健康答疑。

- 手机微信扫描上方二维码进行订阅