- 一文总结:结节病该如何诊断?
- 来源:医脉通呼吸频道
影像学表现
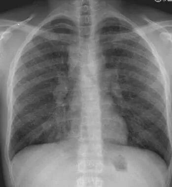
图1 双肺门淋巴结肿大
活检部位的选择及组织病理学检查
诊断
若无病理学依据,可以结合胸部影像学、支气管镜的相关检查结果,除外其他肉芽肿性疾病后,临床拟诊肺结节病,但需要密切临床随诊、动态观察病情变化。
1.Crouser ED, Maier LA, Wilson KC, et al. Diagnosis and Detection of Sarcoidosis. An Official American Thoracic Society Clinical Practice Guideline. Am J Respir Crit Care Med. 2020 Apr 15;201(8):e26-e51.
2.中华医学会呼吸病学分会间质性肺疾病学组,中国医师协会呼吸医师分会间质性肺疾病工作委员会. 中国肺结节病诊断和治疗专家共识[J]. 中华结核和呼吸杂志,2019,42(9):685-693.
3.Sarcoidosis Clinical Presentation-medscape-Sep 15, 2020
健康
-
-
- 一文总结:结节病该如何诊断?
- 结节病是一种原因不明的、以非干酪样坏死性上皮样细胞肉芽肿为病理特征的系统性肉芽肿性疾病。其可累及全身各个器官,但以肺部及胸内淋巴结受累最为普遍。结节病的临床表现临床异质性很大,可以从无明显症状到疾...
- 医脉通呼吸频道
-
-
-
- 关于2021年举办第四届国际纳米药物大会的通知(第一轮)
- 关于2021年举办第四届国际纳米药物大会的通知(第一轮)关于会议 | Conference Information纳米技术是21世纪战略技术的制高点之一。与传统药物制剂相比,纳米药物在促进药物溶解、改善生物大分子药物传输、改善...
- 医药地理
-
-
-
- 性命攸关!这些药千万别给孩子随意吃!严重可致命…
- 本文专家:张兴,宁夏中卫市人民医院副主任药师 家里有孩子的,感冒药、止咳药等等都是必备品。4月23日,国家药品监督管理局发布关于修订氨酚麻美口服溶液等14个品种药品说明书的公告(2021年第57号),提出修改...
- 科普北京
-
-
-
- “正义使者”又来暗拍抹黑医院,同样的偷换概念,同样的套路!
- 从视频来看,这位“正义使者”从拍摄角度,从对话都是精心设计的,他偷偷拍摄了角度极佳的医生收钱的视频,拍摄的时候还特意问医生有没有手续,而医生回答说主任会记录。为什么“正义使者”打了引号,因为其实这...
- 医护讯
-
-
-
- 在杭32岁小伙婚后不育,医院一查竟腹腔里竟有子宫!此前也有一个已婚姑娘脚扭伤后一
- 一个婴儿呱呱坠地医护人员第一时间会抱给妈妈确认“是儿子还是女儿呀?”“是儿子”然后一个男孩的人生之路就这么开始了32岁小伙晓刚(化名)从小就是家里的独宠儿一年前娶了媳妇家里老人都等着抱孙子结果迟迟等...
- 都市快报
-
-
-
- 可怕!这种常用药竟会伤肝、伤肾?多数人对此毫不知情…
- 本文专家:刘治军,首都医科大学附属北京安贞医院主任药师,北京药理学会抗感染药理专业委员会委员 目前随着生活节奏的加快,自身健康问题已不容忽视。动脉粥样硬化是最常见的动脉血管病变,主要是体内过多的“...
- 科普中国
-
-
-
- 为啥多病的长寿,没病的早死?10句话说出长寿大智慧
- 来源:浙江日报、健康时报(ID:jksb2013)等公开资料综合整理。养生,就是保健,就是让我们每天的生活上档次,有质量!这方面,中国传统的养生经验十分丰富,从两千多年前的古医学著作《黄帝内经》,到流传在乡...
- 掌中生活
-
-
-
- 杭州女高中生突然发胖,一个月后肚子藏不住了!医生一查吓懵:千万不能拖啊!
- 每逢佳节胖三斤,仔细一看三公斤。今年春节后,16岁女孩小欣(化名)就开始莫名其妙地“发胖”,一个多月下来,她的肚子像吹了气的气球一般,一天比一天大,犹如六七个月的孕妇。“肚子涨到感觉随时要爆炸”,忍...
- 杭州日报
-
-
-
- Nature:即使康复了,COVID-19患者仍面临各种健康问题
- 美国圣路易斯华盛顿大学医学院的研究人员开展了一项目前最大规模的新冠肺炎(COVID-19)综合研究。他们发现,许多幸存者,即使是轻症患者,在治愈后的很长一段时间内仍然面临各种健康问题。研究人员还对与COVID-...
- 生物通
-
-
-
- 糖友经常吃粗粮,但有一种粗粮千万不要选
- 糖尿病患者的主食建议粗细搭配,粗粮富含膳食纤维,这种物质有助于延缓血糖升高,还能预防便秘、控制体重、防止肥胖等。相比于大米等细粮,粗粮的B族维生素等营养物质也相对多些,B族维生素有助于维护糖尿病患者...
- 糖友管理中心
-
-
-
- 侧脸疼痛也许“坏”不在牙,了解三叉神经痛
- 三叉神经痛是面颊部三叉神经分布区内的一种特殊的阵发性剧烈疼痛。由于发作时常伴有面肌抽搐,故又称之为痛性抽搐。其年发病率为4.3/10万人,女性高于男性(3︰2),成年及老年人多见,40 岁以上患病占70%~80%左...
- 人卫健康
-
-
-
- 感冒后咳嗽总是没完没了,该怎么办?
- (特约作者:天津医科大学 感染病研究所 贾医生)咳嗽作为一种气道对刺激、感染表现出的生理防御反应,其原因受到多种因素影响。最常见的病理原因就是气道炎症,如呼吸道病毒感染导致的感冒咳嗽。但很多患者发现...
- 医患家
-
-
-
- 早啊,健康来了![2021.4.28]
- 【维生素等补充剂效果如何?这项评估近百万人的研究泼了冷水】维生素、矿物质等膳食补充剂在人群中使用日益普遍,但近日发表在医学权威期刊《内科医学年鉴》(Annals of Internal Medicine)的一项最新成果对其...
- 宁夏微健康
-
-
-
- 呕血的罕见原因,原来跟这个药有关!|病例学习
- 病例介绍患者女,55岁,乙状结肠切除术后出现结肠腺癌病史,因呕血来院就诊。患者醒来时感觉不适,突发大量呕血,无腹痛、发热或寒战。患者否认烧心、消化性溃疡病史,否认使用任何非甾体抗炎药或抗凝药物。患者...
- 医脉通肝脏科
-
-
-
- 深度|“肿瘤治疗揭黑事件”背后的癌症诊治江湖
- 在各种肿瘤治疗新药新疗法层出不穷的今天只有先规范医生的医疗行为才能保障医生在超指南超适应证治疗时的自由度从而最终保障患者的权益肿瘤治疗黑幕调查本刊记者/李明子 杜玮 霍思伊 彭丹妮发于2021.5.3总第994...
- 中国新闻周刊
-
